Dr. Arpita S. Patel rebuilds smiles that look real, feel right, and bring confidence back.

Dr. Patel leads Guilford Dental Arts, offering advanced restorative solutions comprehensive rebuilds ‣ crowns ‣ bridges ‣ veneers dentures ‣ implant restorations ‣ One team to guide you ‣ Modern tech, meticulous fit, compassionate care ‣ Schedule same-week appointment
OFFICE LOCATION:
5 Durham Rd, C3 • Guilford, CT

Request an Appointment

Why Choose Guilford Dental Arts?

Expertise and Precision: Dr. Lomartire is board certified prosthodontist, Dr. Patel is under process of getting her board certification. Board certified prosthodontists specializing in precision-driven treatments for restorative, cosmetic and implant dentistry.
State-of-the-Art Technology: Cutting-edge dental technology ensuring efficient, accurate, and comfortable treatments.
Personalized Care Plans: Tailored treatment plans designed to meet your unique needs and goals, with a focus on enhancing both the function and aesthetics of your smile.
Compassionate, Patient-Centric Approach: A team that prioritizes your comfort and well-being, offering a compassionate approach to care that addresses all of your concerns.
Meet Dr. Patel

Dr. Arpita S. Patel

A Master of Smile Transformations

Dr. Arpita S. Patel is a highly skilled prosthodontist with a passion for restorative and implant dentistry. She earned her Doctor of Dental Surgery (DDS) degree from the New York University College of Dentistry (NYUCD) in 2015, where she was recognized for her excellence in biomaterials research, specifically focused on the surgical application of dental implants. Her research has been published in the International Journal of Periodontics and Restorative Dentistry, reflecting her commitment to advancing the field.

Dr. Patel’s extensive clinical experience includes a one-year general practice residency at BronxCare Health System, where she received the prestigious award for outstanding performance in evidence-based dentistry from BronxCare Health System. Followed by two years of Oral & Maxillofacial surgical training at Jacobi Medical Center and Brooklyn Hospital Center. Her training in these diverse clinical environments gave her comprehensive expertise in managing complex restorative cases and a wide range of dental procedures that enhance oral health, function, and aesthetics.
Meet Our Doctors ›
Dental Philosophy

“A person’s smile is a key element of facial beauty…there is nothing more rewarding than the change in self-esteem that accompanies a cosmetic rehabilitation.”

- Dr. Patel & Dr. Lomartire, our approach to dentistry

Prosthodontics: The Heart of Our Practice

Prosthodontists like Dr. Patel and Dr. Lomartire undergo rigorous post-graduate training, focusing on complex dental issues, the latest in treatment technologies, and innovative materials to ensure your results are not only effective but also durable and visually appealing. Their comprehensive understanding of oral health allows them to design treatment plans that address both aesthetic concerns and functional needs, ensuring that your smile is as healthy as it is beautiful.
More About Prosthodontist ›
Financing
FINANACIAL INFORMATION
Before any treatment, you will receive a treatment plan which will include a breakdown of all applicable fees, and we will inform you of all costs before treatment is administered.
About Financing ›

Our Comprehensive Dental Care Services

At Guilford Dental Arts, we take pride in offering a superior diagnostic approach, the most advanced technologies, and a treatment planning philosophy that ensures beautiful results and a more comfortable, efficient dental experience for our patients. Whether you're seeking relief from dental discomfort or looking to rejuvenate your smile, we are your trusted partner in oral health. Don't wait to improve your quality of life – schedule your appointment today.

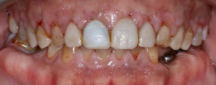
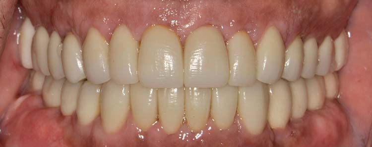
Transformations That Speak Volumes

Our before-and-after gallery showcases real stories of transformation and renewal. These visual narratives highlight our doctors' ability to not only restore dental health but also to craft smiles that truly reflect each patient’s personality and lifestyle.
Before imageAfter image
Before imageAfter image
Before imageAfter image
Before imageAfter image

Professional Credentials

ADA
ADA Active Member
ACP
ACP Prosthodontist
CSDA
CSDA State Member
ABP
ABP Board Certified

Embark on Your Smile Transformation Journey

Ready to see how your smile can transform? Reach out to Guilford Dental Arts today. Dr. Patel, Dr. Lomartire, and their team are ready to guide you through a customized dental care journey that prioritizes your comfort, aesthetics, and health. Schedule your appointment and discover why our patients trust us with their smiles.
Schedule Your Appointment ›Or Call: 000-000-0000

Dental Office

Arpita Patel, BDS, DDS
5 Durham Rd, C3
Guilford, CT 06437

Office Phone

New Patients:
(000) 000-0000
Current Patients and General Office Information:
(203) 453-4344
Office Fax
203-453-6187

Office Hours

Monday: 8:00 AM – 5:00 PM
Tuesday: 8:00 AM – 5:00 PM
Wednesday: 8:00 AM – 5:00 PM
Thursday: 8:00 AM – 5:00 PM
Friday: Closed
Saturday: Closed
Sunday: Closed
linkedin facebook pinterest youtube rss twitter instagram facebook-blank rss-blank linkedin-blank pinterest youtube twitter instagram